Die COPSY-Studie ist während der Corona-Pandemie entstanden, um zu verstehen, wie sich die Einschränkungen auf die psychische ...
VISION-3D: Digitale Modelle direkt im OP sichtbar machen
Am Universitätsklinikum Hamburg-Eppendorf (UKE) wurde mit der VISION-3D-Plattform eine innovative Technologie entwickelt, die es ...
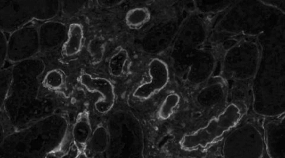
Integratives Endotyping der IgA-Nephropathie
Bis zu zehn Prozent aller Menschen in Deutschland leiden an einer chronischen Nierenerkrankung. Da die Niere eine zentrale Rolle in der ...
Mikrobiota-unabhängige Therapieansätze bei Pouchitis
Menschen mit Pouchitis – einer entzündlichen Erkrankung des Darms – sprechen oft gut auf Antibiotika an. Das deutet darauf hin, dass das ...
SOPHIA Ambulanz am Kinder-UKE
Die Huckfeldt-Weber Kinderstiftung fördert die Arbeit der SOPHIA-Ambulanz, die sich für Kinder mit chronischen Nierenerkrankungen ...
Entwicklung von Gentherapien für Nierenerkrankungen
Die begrenzten Therapieoptionen in der Nephrologie und der Mangel an therapeutischen Innovationen unterstreichen die ...
Entwicklung einer closed-loop zur Reduktion des Parkinson-Zitterns
Die Parkinsonerkrankung (PD) ist die zweithäufigste neurodegenerative Erkrankung und Zittern der Hände ein charakteristisches Symptom ...
Neue Ausstattung für chronisch kranke Kinder in der Kinderklinik
In der Kinderklinik werden zahlreiche chronisch kranke Kinder ambulant und teilweise stationär betreut, deren Wohnorte über ...
Ursachenforschung für Nierenerkrankung bei Kindern
Dank der Entwicklung zahlreicher neuer Medikamente und einer verbesserten Diagnostik können heute nierenkranken Kindern eine Vielzahl ...
Neue Ausstattung für das Perinatalzentrum des UKE
Ein Muttermilch-Pasteurisierer ermöglicht es, gespendete Muttermilch optimal zu nutzen, um insbesondere diejenigen Neugeborenen ...





